Πολλοί από εμάς ξέρουμε ότι είναι καλό να
βουρτσίζουμε τα δόντια μετά το φαγητό, για να "καθαρίσουμε" τα δόντια μας.
Άλλοι ισχυρίζονται ότι δεν θα πρέπει να τα
βουρτσίζουμε αμέσως μετά το φαγητό, αλλά να περιμένουμε 20-30 λεπτά.
Στην ουσία, η αλήθεια βρίσκεται κάπου ενδιάμεσα.

Όταν τρώμε, τρώνε και τα βακτήρια που έχουμε στο στόμα μας και τα περιττώματά τους είναι αυτά που προκαλούν
ζημιά στα δόντια μας (
τερηδόνα, ουλίτιδα, κλπ). Αλλά δεν θα εμβαθύνουμε άλλο στην τερηδόνα, κλπ και στο όλο θέμα με τα βακτήρια.
Η απάντηση στο ερώτημά μας είναι πως θα πρέπει μερικές φορές να βουρτσίζουμε τα δόντια αμέσως μετά το φαγητό και άλλες όχι.
Το όλο πράγμα εξαρτάται καθαρά από το τι έχουμε φάει.
Κανονικά το ιδανικό είναι να τα βουρτσίζουμε αμέσως μετά το φαγητό ώστε να μην προλάβουν τα βακτήρια να δράσουν.

Όμως αν έχουμε καταναλώσει τροφές ή τέλος πάντων κάποια ροφήματα τα οποία έχουν μέσα τους οξέα (χυμός πορτοκάλι, ανθρακούχο αναψυκτικό, κλπ) τότε δεν θα πρέπει να
βουρτσίσουμε τα δόντια αμέσως μετά γιατί είναι πολύ πιθανόν να κάνουμε μεγαλύτερη ζημιά!
Ο λόγος είναι ότι τα οξέα των τροφών - ροφημάτων αυτών διαβρώνουν το σμάλτο και την οδοντίνη των δοντιών μας και αν τα βουρτσίσουμε πριν διαλυθούν, τότε μπορεί να "σπρώξουμε" βαθύτερα τα καταστρεπτικά αυτά οξέα στην οδοντίνη και την αδαμαντίνη. Έτσι κάνουμε μεγαλύτερη ζημιά!
Θα πρέπει στην ουσία να περιμένουμε μέχρι να διαλυθούν τα οξέα και μετά να προχωρήσουμε.
Άρα το καλύτερο που έχουμε να κάνουμε, είναι να τα βουρτσίζουμε μετά το φαγητό αν δεν έχουμε καταναλώσει "όξινη" τροφή και αν έχουμε καταναλώσει, να ξεπλένουμε το στόμα μας με νεράκι, να περιμένουμε 30 λεπτά και μετά να βουρτσίσουμε τα δόντια μας.
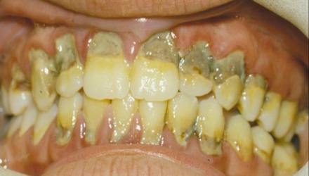
Να τα προσέχετε τα δόντια σας για να μην γίνετε έτσι...

Μας συγχωρείτε για την εικόνα, αλλά ίσως να σας ταρακουνήσει λιγάκι αν τα έχετε αμελήσει... :-)
Διαβάστε στη συνέχεια
Λάθη κατά το βούρτσισμα των δοντιών που πρέπει να αποφύγετε!
Ποια ηλεκτρική οδοντόβουρτσα να πάρω

Τι να προσέξετε κατά την αγορά ηλεκτρικής οδοντόβουρτσας; Δείτε ορισμένες χρήσιμες συμβουλές και προτάσεις στο άρθρο που ακολουθεί.
Πως δημιουργείται η τερηδόνα και γιατί κάνουμε σφραγίσματα;

Αλήθεια, τι είναι αυτή η περιβόητη τερηδόνα στα δόντια μας που μας ταλαιπωρεί, πως δημιουργείται και γιατί κάνουμε σφραγίσματα στα δόντια μας;
Ποιά φαγητά αφήνουν λεκέδες στα δόντια;

Ας δούμε εδώ ποια φαγητά λεκιάζουν τα δόντια μας και μας αποτρέπουν να έχουμε τα λαμπερά και λευκά δόντια που θα επιθυμούσαμε!
Η σόδα λευκαίνει τα δόντια;

Είναι αλήθεια ότι η σόδα λευκαίνει τα δόντια; Και αν ναι μήπως βλάπτει; Ας δούμε αναλυτικά στο άρθρο που ακολουθεί.